Cabinet Dentaire du Dr Konopnicki
Chirurgien-Dentiste à Bezons dans le Val d'Oise (95)
3 rue de Montesson, 95870 BEZONS
+33 1 39 47 13 64
Cabinet Dentaire du Dr Konopnicki
Chirurgien-Dentiste à Bezons dans le Val d'Oise (95)

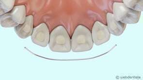
Fil de contention


video-play-icon